VSTOP ČLANOV:
 Član:
 Geslo:
VIDEO ARHIV:
(14107)
 
Gost | Slovenski  

  Študija (302)
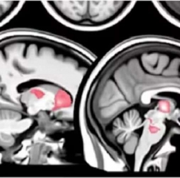
Študija | Kemikalije v stiku z živili: Skrita strupena nevarnost v naši hrani ... Študija | Najnovejša študija je pokazala, da je ibuprofen veliko bolj nevaren za našo kri, kot si lahko predstavljamo ... Študija | Uradna ameriška študija povezuje cepiva proti covidu z virusom aids pri otrocih: tveganje za avtoimunske bolezni se je povečalo za 23 % ... Študija | ŠTUDIJA: mRNA cepiva, povezana z "AIDS-om" in mikrostrdki v krvi ... Študija | Savdska študija: Cepiva proti covidu povezana z nenadnimi srčnimi zastoji pri mladih – »Časovna bomba v telesu« ... Študija | Led se vrača in "znanstveniki" so zmedeni - Nove študije poudarjajo slabe podnebne napovedi ... Študija | Znanstveniki v najnovejši študiji opozarjajo, da koničasti protein iz mRNA "cepiva" ostane v možganih še mesece po cepljenju ... Študija | Med 20 in 24 °C vaši možgani dosežejo svoj polni potencial. Idealna temperatura ... Študija | Študija kaže, da ima Pfizerjevo cepivo z mRNA več smrtonosnih stranskih učinkov kot Modernino ... Študija | Zaskrbljujoča študija: 78 % nenadnih smrti dojenčkov se zgodi v 7 dneh po cepljenju ... Študija | Nova študija: Ultra predelana hrana povzroča več sto tisoč prezgodnjih smrti – tukaj so štirje najhujši krivci ... Študija | Sevanje mobilnih telefonov povzroča raka pri živalih, znanstveniki pozivajo k nujni globalni spremembi politike ... Študija | Šokantna študija odkriva povezavo med cepivom Pfizer in 38 % višjo umrljivostjo ... Študija | Nova češka študija odkriva manj nosečnosti med cepljenimi ženskami ... Študija | NOROST: Ne hodite k zdravniku – rešite planet?! Nova študija trdi, da zdravstveni pregledi segrevajo Zemljo ... Študija | Stabilnost arktičnega morskega ledu: Podnebna realnost proti histeriji ... Študija | Študija: Ženske, ki jemljejo tablete za splav, imajo 22-krat večje tveganje za smrt ... Študija | Velika študija opozarja: Pri cepljenih proti Covidu obstaja dolgoročno tveganje za poškodbe možganov ...

1 3 4 5 6 7 8


Avtor 2020 - 2026 © | Pravila | Pišite nam | skupaj obiskov od 31.3.2020.
Ves materijal z naše strani se lahko kopira na druge spetne strani DELITE IN OZAVEŠČAJTE DRUGE!

EUSEARCH (slo,cro,eng) | NOVICE | KUHAJMO | FILESI (angleščina) | RADIOCAST